Perhaps the single most important message I can communicate is that each of us must take an active role in improving and preserving our health. If we are willing to take control and jump into the driver’s seat, we have far more power over our healthspan and lifespan than many believe.
I recently heard from a follower of The Drive podcast – I’ll call him John Doe – whose story conveys the power of the above message far better than statistics or study citations ever could. With his permission, I share it here, in the hope that it serves as a reminder that each of us is our own best advocate when it comes to our health, and regardless of age or fitness level, the time to take action is now.
A Story with Heart
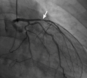
John wouldn’t stand out as one who might be at high cardiovascular risk. He’s in his early forties, keeps a fairly healthy diet, and participates in triathlons. And yet, he also has a 90% blockage in his left anterior descending artery (LAD), a major coronary artery long known as the “widow-maker.”
Figure: Imaging revealed near-complete blockage (indicated by arrow) of the “widow-maker” left anterior descending artery.
John was a time-bomb, and in all likelihood, he had little left on the clock. But thanks to his own initiative, he was able to change the course of his story. Based on information he’d gathered from The Drive, he set out to obtain a better picture of his coronary health by requesting tests for apolipoprotein B (apoB), and Lp(a) – neither of which are included in typical lipid panels. Lo and behold, both were elevated, with Lp(a) in particular reaching the level of very high risk. After a coronary artery calcium (CAC) scan raised further red flags, John saw a cardiologist, who ordered a computed tomography angiogram (CTA) that confirmed the grim reality: severe stenosis (narrowing) of the LAD.
In retrospect, John realized he had been having chest pain for years, a sign that part of his heart wasn’t receiving enough blood (a condition known as angina pectoris). But because of his young age and healthy lifestyle, no one suspected anything. Were it not for his own proactive steps, his atherosclerosis – for which he has now undergone stenting surgery and is currently on a treatment regimen – may not have been discovered until it was too late, after it had caused a massive heart attack and made an orphan of his beautiful, 6-month-old daughter.
A Common (But Avoidable) Problem
Similar cases are all too common, and unfortunately, far too many end in tragedy. Such cases are all the more painful when we realize that they are largely preventable with early monitoring and intervention. Even John, who is fortunate simply because he lives to tell his tale, might have been spared years’ worth of damage had his Lp(a) been tested much earlier in life, thus alerting his physicians of his high lifetime cardiovascular risk and mandating aggressive lipid-lowering therapies.
But all in all, John considers himself blessed. His condition was caught before it ended his life, and through the discovery, he not only gave his loved ones and infant daughter the gift of more time with him – he also gave them important insight into their own health risks. Since the inheritance of Lp(a) is genetic, John can advise all of his relatives to be similarly screened before it’s too late.
Get in the Driver’s Seat
I have often repeated that avoiding cardiovascular death – and health decline more generally – depends on acting early. Particularly in light of the limitations in current practices for screening and intervention, early action requires that each of us takes responsibility for engaging in decisions regarding our own health.
John heard these messages loud and clear, and he has graciously thanked my team and the podcast for setting his course toward better health and a longer life. But make no mistake – the credit is all his. I can only offer knowledge to help create a roadmap forward, but even the best map is useless unless someone gets behind the wheel to start down the road.
For a list of all previous weekly emails, click here.




